Manual
Manual de Investigación Forense

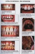
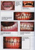
Fotografias de Patologias Dentales

dentadura


Editado electrónicamente por el Equipo Nizkor- Derechos Human Rights el 02oct02
Capitulo Anterior Proximo Capitulo Sube